Tuesday, September 15, 2015

The Truth About Clenching & Grinding!

Is clenching and grinding really a problem? Yes!





Over the past few years, our dental practice has seen an increasing number of patients who have Bruxism; and more of our patients are getting occlusal guards to prevent further problems. So what is Bruxism?




Bruxism is the act of forcefully sliding the chewing surfaces of the teeth back and forth against each other. Bruxism is often times accompanied with clenching, which is tightly clamping the teeth together with incredible force. People who clench and grind their teeth are called bruxers and they are doing this subconsciously. Bruxism occurs typically during the night and because we are sleeping, we have no control over this nocturnal habit. 

Why is Bruxism a problem?
During sleep, the act of biting can be up to 6 times greater than normal wake biting and clenching. Many patients report headaches, facial and jaw pain or no symptoms other than what we can report in the mouth. This can include:

  • fractured or broken teeth
  • teeth that are "short" or worn down
  • broken fillings or crowns
  • tooth mobility
  • sensitive teeth
  • gum recession
  • abfraction

worn down teeth

worn and chipped teeth

gum recession and abfraction

vertical fractures




Why am I clenching or grinding?
The causes of bruxism are unclear. Studies suggest life stress, sleeping problems, or occlusion problems can contribute. Many of our patients reported having a stressful life event or an increase of stress in their lives. Recent studies have also found that those taking medications for depression or anxiety have an increased side effect of clenching. These medications include Zoloft, Paxil, Celexa among many others. If you are currently taking a medication for anxiety or depression and have experienced any symptoms of clenching or grinding, talk to your healthcare professional about your options.

How is bruxism treated?
There is no cure for bruxism, however, the condition can be managed. An occlusal guard or more commonly called a night guard can be professionally made to wear while you sleep. This appliance helps keep your Temporomandibular joint (jaw joint) slightly open to prevent clenching or grinding. When someone is a bruxer, their cheek muscles are often very prominent. The muscles become overdeveloped and incredibly strong. Recent studies have found that improvement of bruxism is seen when injecting the botulinum toxin temporarily weakening this muscle while still having function. In severe cases of bruxism, full mouth crowns are needed to protect the teeth and restore the smile to full function. Please consult a dental professional for a consultation and a treatment plan.




prominent Masseter muscles from bruxing


While bruxism can have a negative effect on your teeth, facial area or jaw, it is possible to limit or reduce these effects. There are options for you! Consult your dental professional for a complete and thorough dental exam! We are here for you! 










Tuesday, July 14, 2015

Sensitive Teeth.. what can you do?


To understand tooth sensitivity lets take a closer look at the layers of a tooth.

A tooth is composed of 3 main layers; enamel, dentin and pulp. The pulp is the innermost layer and houses all of the tooth's living components, nerves and blood vessels. Dentin is the middle layer; the bulk or largest layer of the tooth. Lastly, the outermost layer is called enamel; the hardest, most mineralized tissue in the body. 



Inside the dentin, or middle layer, are thousands of tiny tubes. These tubes extend from the outer layer of pulp to the outer layer of dentin. If left exposed, thousands of nerves are open to the surface. When enamel is worn away or gums have receded, leaving the dentin uncovered, nerves are triggered and pain is felt. 







Tooth sensitivity is one of the most common complaints of dental patients, and studies have found that about 40 million Americans suffer at some point from sensitivity. 

So what can you do?

Toothpaste
Sensodyne, Colgate and Crest offer a wide range of sensitivity toothpastes. These products contain ingredients that work by either blocking the opening of the tubes or desensitizing nerve endings. The most common mistake people make with sensitivity toothpaste is only using it when they feel sensitive! Most of these toothpastes need a few weeks to begin working and require continued long term use. 

Fluoride
A fluoride treatment can be done in-office and is a quick, useful remedy. Fluoride puts back all the minerals and vitamins into the tooth; strengthening it. This treatment is done every 4-6 months and has great success! 

Desensitizing Agent
Your dentist can also prescribe a prescription strength fluoridated paste to use at night. These products are great for those who will consistently use them daily. The most common of these prescription products are Clinpro and Prevident.

Acidity
Several drinks and foods are very acidic and will break down the enamel on your teeth, causing sensitivity. If you are experiencing sensitivity, take a look at your diet. Sodas, lemons, sports drinks, energy drinks; using these daily or long term could be the culprit of your sensitivity.

Clenching or Bruxism
Bruxism is a nocturnal habit of grinding your teeth, and most are unaware that they do it! Some signs of clenching or grinding are: flattened tops of teeth, "dished" out tops of molars, jaw pain, frequent headaches or gum recession. 

Recent Dental Treatment
If you have had recent dental treatment done you may be experiencing sensitivity. This is normal! Don't worry! This sensitivity should be acute and go away within a few days. If sensitivity is lingering, call your dentist for a consultation.




There are several things you can do daily to help prevent or lessen the sensitivity response. First, make sure your toothbrush has soft or extra soft bristles, and brush gently! Most people brush vigorously and end up "brushing" off their enamel. A good way to know if you are brushing too hard is to take a look at your toothbrush. If the bristles are spread sideways, you are brushing too hard.

Get into your dentist for a dental cleaning twice a year. Some tooth sensitivity can be stemming from decay, a dying tooth, or clenching at night. Your dentist can give you a proper diagnosis by taking radiographs and doing a thorough exam. 

Don't live with tooth sensitivity! There are several treatment options or ways to relieve the pain depending on your situation! Talk to your dentist or dental hygienist about ways that they can help you. 

-A Healthy Body Starts With a Healthy Smile- 













Saturday, June 20, 2015

Dry Mouth... why is it such a big deal?

Dry mouth, also called Xerostomia, is not a disease but is a symptom of a medical condition like Sjogren's Syndrome, or a side effect of certain medications. It is also caused by damage to the salivary glands from radiation or chemotherapy.



Saliva is the mouth's main defense against tooth decay. Saliva helps to wash away food or other debris away that without saliva would otherwise stick. Without your salivary glands working properly, those with dry mouth have an increase in plaque and therefore an increase in tooth decay. 

Those with Xerostomia may not notice they have a dry mouth until their salivary flow is reduced by 50%. If you suffer from dry mouth you may have one or more of these symptoms:

  • Bad Breath
  • Blisters or Mouth Ulcers
  • Excessive Thirst
  • Needing More Water at Night
  • A Sticky or Sore Mouth
  • Cracking at the Corners of the Mouth
  • A Pebbled Look to the Tongue
  • Difficulty Eating Spicy Food

An increase in age is also a direct correlation with dry mouth. Half of all Americans over the age of 60 are taking 3 or more prescription medications on a regular basis. What medications cause dry mouth? Over 1800 medications can make your mouth feel dry including drugs used to treat:
  • Depression
  • Anxiety 
  • Allergies 
  • Obesity 
  • Acne 
  • Epilepsy 
  • Hypertension 
  • Diarrhea 
  • Psychotic Disorders 
  • Asthma  

If you feel that you may have a dry mouth talk to your Dentist or Dental Hygienist about what you can do to help. They may recommend the use of artificial saliva products like toothpaste, oral rinses or oral sprays. Your healthcare provider may also prescribe Salagen or Evoxac- medications that help to increase the stimulation of salivary flow. 



What can I do to manage dry mouth? 
  • Drink water frequently. Keep water by your bed at night.
  • Suck on mints or sugar-free hard candies.
  • Avoid oral rinses or drinks that contain alcohol as this increases dryness.
  • Avoid salty or dry foods.
  • Quit smoking.

Dry mouth is a common problem. It can range from being a nuisance to something that has a major impact on your general well being of life. As well as the health of your teeth. Ask your Dentist or Dental Hygienist about a treatment that would be right for you! 

-A Healthy Smile Starts with a Healthy Body- 















Wednesday, May 13, 2015

Are Cavities Contagious??

Are cavities contagious? The answer might surprise you!



Parents are usually shocked to learn that their children, despite great brushing and flossing, develop cavities at a very young age. One of the reasons could be that cavities are actually contagious! It might surprise you to learn that the bacterial cause of tooth decay can be passed from person to person. 

Cavities are caused by a bacteria called streptoccus mutans. This bacteria feeds on food and debris that is left behind. It then releases an acid that destroys the hard outer layer of enamel. When this acid and bacterial byproduct builds, it creates plaque that contains even more acid, harmful for your teeth. No matter what you eat, cavities will not form without the help of this bacteria. This acid byproduct left behind from the bacteria causes the pH in your mouth to drop. A higher acidity level in your saliva also causes continual wear on your enamel. So what is the culprit of tooth decay? streptoccus mutans. No one is immune to this bacteria and some individuals tend to have higher levels or s. mutans than others. 

You may have heard the common myth of "soft teeth" being passed from parents to children. This is not true! But rather, what's being passed around is a mouth full of bacteria! Researchers believe that children "caught" this bacteria from their mothers. Those with a history of tooth decay were more likely to pass it on to their children. These germs can spread mouth to mouth via shared food, utensils, sneezing, shared straws and kissing! So how can you stop the spread of bacteria? 




Here are 5 practical ways to stop spreading cavity causing bacteria in your family:

Avoid sharing utensils, straws and food.
Anyone with children knows how common it is to share food with them with your  spoon or fork. Teach your children to not share food, utensils or straws with anyone else! You never know who has high levels of cavity causing bacteria in their mouth!

Don't share toothbrushes.
Every family member should have their very own toothbrush! The American Dental Association recommends changing your toothbrush every 3-4 months or sooner if the bristles become flared. You should also change your toothbrush after having the flu or any other virus. Do not share your toothbrush to avoid passing bacteria from person to person.

Clean pacifiers in the sink, not your mouth.
Most parents have done this. Your child drops the pacifier on the ground and you forgot to bring another one. Wash it off in the sink, not your mouth! Your infants mouth is sterile when born. Studies show that the first sign of bacteria in a newborn is from the mother. 

Keep a clean mouth.
Practicing daily oral hygiene habits is the best way to help keep cavity causing bacteria relatively low. One of the most important things you can do for your children is helping them to brush and floss their teeth until they can do it on their own properly. An alcohol free mouth wash will also help keep a clean mouth! 

Visit the Dentist regularly.
Regular cleanings every 6 months can help beginning stages of tooth decay from turning into cavities and reduce levels of cavity spreading bacteria in the mouth. If you and/or you children continue to get cavities even with good oral hygiene habits, talk with your Dentist or Dental Hygienist for ways to help reduce this! Using Xylitol throughout the day, having a stronger form of Fluoride put onto the teeth, or trying to regulate the pH of your saliva are a few ways to help! 

Practice using these tips in your family to help reduce the spread of cavity causing bacteria. Visit a Dentist at least twice a year and brush and floss daily to keep a clean mouth! Remember, good oral hygiene habits can be "contagious" as well! 

-A Healthy Body Starts with a Healthy Smile-


Friday, April 24, 2015

Do I Really Have to Floss??

Flossing is one of the most difficult things to get people to do, but probably is the most effective method for avoiding cavities, health problems and emergency visits to the dentist! So what is the difference? Why do some people so easily get in the habit and realize the importance of flossing and others make up every excuse to avoid it??

We have heard every excuse in the book of not flossing... I ran out of floss, I was too tired, I always forget, I don't like flossing, it makes my gums bleed or it hurts! Did you know the more often you floss, the less it will hurt and the less your gums will bleed? Plaque is made up of saliva, leftover food and harmful bacteria... yes, thousands of bacteria that create an infection in your mouth. Your body sends blood to your gums to fight the infection. If bacteria enters your blood stream it can, travel to your heart, (increasing your chances of heart disease), compromise your immune system or cause inflammation in the lining of your heart. Therefore, the healthier your gums are, the less they will bleed and the healthier your body is as a whole. 





So why do we have to floss? If you had to make a choice between brushing or flossing, FLOSS! Yes, you heard right.. FLOSS! The bacteria in-between your teeth can cause far more damage than the plaque that builds up on the front and back surfaces of your teeth. Your tongue, food and saliva help to remove most of what builds up on these surfaces. During brushing, the bristles are too large to reach between your teeth and below your gums. The food that gets caught in-between your teeth stays there until removed from floss or any type of floss pick. This plaque then hardens from the minerals in your saliva and turns into calculus (tartar). At this point, Periodontal Disease can progress causing several more health problems. 


Dental Plaque


What is the proper technique of flossing? The most important part of the technique is wrapping the floss around each tooth and scrubbing up and down several times. Some people may be flossing every day but not spending enough time or doing it properly. Follow these step-by-step instructions!


If you are still confused and not sure how to floss, this video does a great job with the technique suggested above. 

Do I need to floss before or after I brush? This is a frequent question! The most important thing about flossing is just to do it. If you have a hard time remembering to floss before bed and are in a huge rush in the morning, then do it after lunch, or as soon as you get to work or put the kids down for naps. Whenever is most convenient for you! You do not need to brush and floss at the same time if you have are having a hard time doing both together. 

If you find flossing too difficult, consider a different flossing method. There are several flossing aids that can help! Ask your Dental Hygienist which flossing aid would be right for you. It could be that you need to try a different kind of dental floss- stick with it and you will have adapted a healthy habit for life!  

           

-A Healthy Body Starts With a Healthy Smile-




Friday, March 27, 2015

Periodontal Probing

A periodontal examination and probing are used to assess the health of your gums and supporting bone level. This is done by your dentist or dental hygienist at every routine cleaning appointment. The probing examination helps to diagnose Gingivitis or Periodontal Disease, and is only a benefit to you! Your gums may be "poked" every 6 months, but the benefit far outweighs the consequence! 


Healthy Periodontal Evaluation

Periodontal Sulcus Measurement



The space measured is called the sulcus or periodontal pocket (if unhealthy). It is the spot where the gum attaches to the tooth. This space is where plaque and food can accumulate and where flossing occurs. A healthy measurement is 1-3mm deep. A measurement of 4-5mm indicates that some bone loss has occurred, and a measurement of 6mm+ indicates moderate to severe periodontal disease. Healthy gums cling to the tooth, where unhealthy gums tend to swell and pull away from the tooth.



Probing measurements are not the only assessment taken. Bleeding, recession, furcation involvement and mobility are also measured. If bleeding occurs during the probing assessment, this does not mean your dentist or dental hygienist are jabbing your gums. Bleeding indicates infection and stipulates the gums have bacteria present that need to be eliminated. On teeth where multiple roots exist, a furcation (between the roots) is present. If this area is shown, a recording is documented. All of these assessments help to diagnose and determine the severity of Gingivitis or Periodontal Disease. 

Bleeding during Probing

Recession

Furcation Involvement


Repeating these measurements helps to track the progress of the treatment. You may need a common treatment done called Scaling and Root Planing also known as a deep cleaning. The measurements are taken prior to the treatment and then again weeks to months following. If you are heeding your Dental Hygienists recommendations, these measurements can improve depending on the amount of bone that has been lost. 

The periodontal assessment is a very important examination that every Dentist or Dental Hygienist should be performing! It is only to your benefit! Help us help you improve your oral health!

-A Healthy Body Starts With a Healthy Smile-


Sunday, March 15, 2015

Dental Sealants

What are dental sealants, who should get them and how long do they last? 

These are some really great questions! Sealants are a thin plastic coating that is painted onto the chewing surfaces of the teeth (usually the back teeth) to prevent tooth decay. Molars and premolars have several grooves, ridges, pits and fissures that plaque and food can get trapped in. Thorough brushing can help reduce this plaque from sticking but toothbrush bristles do not reach all the way down into these grooves.



Sealants are very easy to apply and no injections or numbing is needed! The sealant is placed directly onto the tooth surface which then bonds to the enamel and hardens. The sealant acts as a barrier, protecting the enamel from acid wear and decay. As long as the sealant remains intact, the tooth surface will be protected. 

Anyone can have dental sealants placed. However, sealants are more commonly placed on children. As soon as the first permanent tooth erupts, parents should be requesting that a sealant be placed to protect the tooth. Sealants are only needed on teeth with deep grooves and pits. Your dentist will perform a thorough exam to diagnose which teeth will benefit from a dental sealant. 




Dental sealants need to be checked at every dental cleaning visit for chips or cracks. If a dental sealant is chipped, bacteria can accumulate around the edge of the sealant and cause decay. During your dental exam, you may notice your dentist poking at the chewing surface of your teeth. He is checking the grooves and pits for any spot that may be sticky. This will indicate that a cavity has started and needs to be addressed. 


Ask your dentist if dental sealants will benefit you! Always remember to have your teeth professionally cleaned as directed by your dentist or dental hygienist. The sooner a cavity is detected, the quicker and cheaper this tooth can be fixed!

-A Healthy Body Starts With a Healthy Smile-


Saturday, February 28, 2015

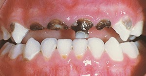
Baby Bottle Mouth



Baby Bottle Mouth, also known as Baby Bottle Tooth Decay or Early Childhood Caries, is caused by the frequent and long-term exposure to your child's teeth to liquids containing sugar. Among these sugary drinks is.... milk. Yes, you heard right, milk! Many mothers do not know how to care for their child's teeth. So, let's review!

Who Gets Baby Bottle Tooth Decay?

Every child is susceptible to tooth decay. You know that clear saliva drooling from your babies mouth from time to time? This is the culprit, and the problem comes at the wonderful time your baby falls asleep. Swallowing decreases and saliva production plummets. Any liquid left in your child's mouth during sleep continues to wear down the enamel. However, bedtime is not the only time this can occur. If you allow your child to run around during the day with a bottle in their mouth, this increases the exposure times to those sugars. 

What are the Symptoms of Baby Bottle Tooth Decay?

This decay strikes the most visible portion of the front teeth. This can be clearly seen if a mother is actively looking inside her child's mouth. However, the front teeth are not the only teeth affected. Any erupted tooth can be suspect to decay. This decay, if severe enough, can cause the child pain and if the decay continues further, can affect the permanent tooth sitting patiently below. 

What Does the Decay Look Like?

In the beginning stages, decay may be un-noticeable. Until the enamel is completely broken down decay is hard to detect. However, it is still there. Check daily for any white, yellow or brown spots on your child's teeth. These colors indicate how severe the decay may be. 


Healthy Smile

Beginning Stages of Decay

Mild Decay

Moderate Decay

Severe Decay

How Can Baby Bottle Tooth Decay be Prevented?

Tooth decay can be prevented by reducing the exposure times to liquids containing sugar. Do not put your child to sleep with a bottle of juice or milk! Moving the feeding time forward by even 15 minutes so that your child can finish eating prior to bedtime can significantly protect the teeth. Many children are only put to sleep by the comfort of sucking. Rather than a bottle, a pacifier is a better option. A bottle of water is also a good option. If your baby is in the habit of juice at bedtime, try diluting the juice with water. 

The American Academy of Pediatrics wisely recommends that parents only give bottles during feedings and not allow their children to carry a bottle between meals. 

I also commend the American Academy of Pediatric Dentistry’s recommendation to start cleaning your child's teeth at least once a day as soon as the teeth come in. Allowing your child to chew or suck on a tooth brush from an early age will help in the process of brushing.




Remember, follow a dental routine! We recommend seeing your children twice a year from the age of 2, if not before. This allows us to catch early decay before extractions or root canals are needed. Start healthy habits while your children are young. If you love to brush your teeth, so will they!

-A Healthy Body Starts With a Healthy Smile-


Saturday, February 21, 2015

Dental Implants.. are you a candidate?

If you are self-conscious because you have missing teeth, wear dentures that are uncomfortable or can't eat the foods you love, a dental implant may be the right option for you. Dental implants are the perfect long-term option to restore your beautiful smile! Yes, dental implants can be quite the investment, but an investment you won't regret!


Dental implants are made up of titanium and are well compatible with the human body. They are posts that are surgically placed in the upper or lower jaw to restore form and function to the mouth. It is important that you are in good health as some habits or diseases can affect whether the implant will fail. For example, uncontrolled diabetes, smoking, alcoholism, cancer or radiation to the jaw, or uncontrolled periodontal disease. It is also important to let your dentist or oral surgeon know all medical conditions, medications or herbal supplements that you are taking prior to implant placement. 


Implant placement usually requires 2-3 steps and several months for completion. 


  • First, the dentist surgically places the titanium implant into the jawbone. Sometimes, a bone graft is needed and placed around the implant to help fill in the missing bone. 
  • Second, osseonintegration needs to occur and usually will take 2-4 months. What makes an implant so strong is that the jawbone actually grows around and holds it in place. The implant is integrated with the jawbone and becomes one.
  • Finally, the abutment and crown are placed on the implant to restore the complete restoration. The abutment is a device that joins the crown to the implant itself. Once the crown is placed, the full dental implant should be indistinguishable from your natural teeth.

If you are missing several teeth, an implant bridge may be your perfect option. This requires placing two or more implants to replace three or more teeth. 


The procedure is the same as replacing a single tooth, and a bridge is joined onto the abutments. The teeth have been replaced and bone loss has been halted. 


If you are missing all teeth on the upper or lower jawbone, an implant supported denture can be made. Why is this a better option than just a denture? The denture itself is joined onto the implants and can be secured or made to be removable. This option makes chewing, eating and talking much more normal.




Dental implants differ from natural teeth in several ways. There are also a few perks of a dental implant that makes it the best long-term option! Teeth are susceptible to decay as well as the need for a root canal. Dental implants are metal and do not decay or need root canals. The surrounding gums of natural teeth are susceptible to Periodontal Disease while dental implants are susceptible to Peri-implantitis; an inflammatory response to bacteria. 





If you are interested in dental implants, it is important that you get a full oral evaluation by your dentist. Implants do require good oral health much like natural teeth. Your dentist will carefully monitor your implants for mobility and that the implant crown, bridgework or dentures are functioning properly. 

Dr. Liddiard is capable, confident and licensed in placing any dental implant you are in need of. A free consultation is waiting for you! Visit our website for more information!

-A Healthy Body Starts With a Healthy Smile- 



Saturday, February 7, 2015

Do I Really Need a Root Canal??

Do I really need a root canal? Sounds painful! What is it all about?

First, let's review the basic anatomy of a tooth..


Teeth are "tough" on the outside. The outer enamel layer is to thank for this! Enamel is considered the hardest substance in the human body. With the constant chewing and daily acid attacks, this layer protects our teeth from wear and erosion. Inside the tooth is a soft core called a nerve chamber. The pulp chamber is made up of nerves and blood vessels that feed the tooth. Essentially, our teeth are considered a living thing, and, as with all living things, our teeth can "die". A tooth's nerve and pulp can become inflamed, irritated or infected due to deep decay, large fillings, a crack or chip in the tooth or trauma to the tooth. Tooth trauma includes: grinding, clenching or facial trauma. Sometimes, a tooth can die for no apparent reason. This is usually a chronic process that occurs over several years.

In most cases, the patient is faced with two options; a root canal therapy or extraction. A root canal is considered a therapy and not a treatment and usually, this is the last ditch effort to save the tooth. A tooth treated with a root canal can last several years. However, sometimes a tooth can become re-infected and extraction is needed. If extraction is needed, an implant can be placed to restore form and function to the mouth. 

Upon diagnosing the need for a root canal, a radiograph (x-ray) is taken. The Dentist or Endodontist is looking for several things including; an abscess, inflamed periodontal ligament, deep decay, or a crack/fracture. 

Abscess formed at apex of root

Deep decay



Inflamed Periodontal Ligament

What are the signs that a Root Canal is needed?
  • Severe tooth pain when chewing or pressure is applied
  • Prolonged sensitivity/pain to hot or cold, even when the source is removed
  • Discoloration or darkening of the tooth
  • A persistent, recurring "pimple" near the pained tooth
  • A dull ache that lasts several minutes to hours, or pain the persists throughout the night
  • Swelling and tenderness in the nearby gums
  • Facial swelling in the affected area

What does the Root Canal procedure consist of?


During the root canal, the diseased pulp is removed, cleaned and then sealed. The final step involves further restoration of the tooth. Because a tooth that needed a root canal is often times one that had a large filling or deep decay, a crown needs to be placed on the tooth to protect it, prevent it from breaking, and restore it to full function. The first few days after the root canal, the tooth may feel sensitive due to inflammation, especially if there was pain or infection before the procedure. Over-the-counter medications like Tylenol or Ibuprofen can help soothe any pain. Most patients can return to their normal activities the next day, and state that the root canal itself was no more painful than getting a cavity filled. 

Saving your natural tooth is always the best option. Our dental staff can help discuss your options; we are always here to help you make the best educated decision for yourself!

-A Healthy Body Starts With a Healthy Smile-